病例介绍
患者,赵xx,37岁,女,再婚,有生育需求。
✦主诉:
发现宫颈病变半年余。
✦现病史:
患者2023-10-05外院体检查TCT:HSIL,HPV16型阳性,行宫颈活检,病理回报:子宫颈乳头状鳞状细胞癌,因取材过于表浅,不排除深部间质有浸润。患者未予治疗。2024-04-09在我院再次行宫颈活检,其病理结果提示3点处活检组织为高分化鳞状细胞癌。否认异常阴道流血、流液,否认接触性出血,无下腹坠胀、腰背酸痛、头晕乏力、胸闷气短等不适。起病以来,患者精神、食欲、睡眠均可,大小便正常,体力体重无下降。
✦既往史:
2012年行双侧输卵管结扎术;2023年行输卵管吻合术;无特殊病史,无食物药物过敏史。
✦体检:
T 36.8℃,P 80bpm,R 20bpm,Bp 142/73mmHg,全身皮肤粘膜无黄染,浅表淋巴结未触及肿大,心肺未闻未及异常,腹软,无压痛及反跳痛,移动性浊音阴性。双下肢无浮肿。
✦妇检:
外阴发育正常;阴道畅,粘膜光滑,可见少量血性分泌物;宫颈肥大,表面可见活检后改变;月经来潮未内诊及三合诊。
✦辅助检查:
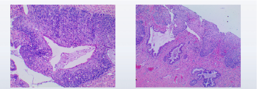
2024-04-11我院宫颈活检病理:宫颈3点活检:高分化鳞状细胞癌;宫颈6点、9点、12点局部呈(CIN I级)伴病毒感染;宫颈管搔刮物,游离的鳞状上皮呈原位鳞状细胞癌图像。
✦入院完善相关检查检验:
SCC正常,CA125 38.2U/mL↑,铁蛋白 304.94ng/mL↑,CA724 10.6U/mL↑。
三大常规、凝血象、肝肾糖电解质、甲功三项、传染病四项均无特殊异常。
肺部CT:左肺上叶上舌段实性结节影,增殖灶可能。
腹部CT:未见明显异常。
盆腔MRI提示宫颈肥厚,肿瘤性病变不除外

✦考虑诊断:
宫颈鳞状上皮细胞癌IB1期
宫颈人乳头瘤病毒16型感染
✦手术方式:
盆腔淋巴结切除+阴式宫颈广泛切除术
✦术后石蜡病理:
广泛CIN Ⅲ级并累及腺体
各切缘均(-)
盆腔淋巴结(-)
免疫组化:腺上皮P16(-),Ki-67(低表达)

思考总结
高危型HPV持续感染导致宫颈上皮内瘤变和宫颈癌: ✦应定期行宫颈HPV检测和细胞学检查; ✦早期发现CIN和宫颈癌;
✦手术治疗为主。
目前,标准的根治性宫颈切除手术范围为保留子宫体,在宫颈内口下方1cm切断宫颈,阴道切除2cm以上,宫旁切除2cm以上。该手术是否适合所有早期低风险宫颈癌患者保留生育功能呢?是否可以借鉴根治性子宫切除术的手术分型系统呢?
基于本病例患者宫颈大部分病灶为CIN III,局灶为宫颈癌,在治疗宫颈癌的同时还要考虑患者的妊娠需求,因此制定个体化的宫颈切除范围,在盆腔淋巴结活检冰冻病理提示未见转移后,进行了阴式宫颈广泛切除术,以提高患者将来妊娠的成功率。


本次手术导致患者宫颈缺失,应采取相应措施预防宫颈机能不全。
专家简介
胡争 教授
院内任职:武汉大学中南医院妇儿医院副院长、妇科肿瘤科科主任、妇科肿瘤科学科带头人
学术任职:
1)国家科技部重大专项首席科学家(原863计划)
2)国家自然科学基金多国合作重点项目牵头科学家
3)中国研究型医院病毒肿瘤学会副主任委员
4) 广东省珠江学者
5)湖北省医师协会妇产科医师分会副主任委员
享受特殊津贴及类型:中组部国家高层次人才
所获荣誉及奖项(省级及以上):
1)2019年度全国妇幼健康科学技术奖一等奖
2)2020年度中华医学科技奖一等奖
主要研究成果:
以通讯作者/第一作者发表SCI论文30+篇,10分以上论文>10篇,总影响因子>200分, 包括Nature Genetics, JCI, Advanced Science, Nucleic Acids Research, Nature Communication, Clinical Cancer Research等期刊。目前主持国家科技部传染病重大专项1项,国家自然科学基金3项,总经费逾千万。研究成果多次获得国内外同行的肯定性评价,相关研究结论入选Prime 1000,并被Nature、Nature Biotechnology、Nature Reviews Cancer等顶级杂志正面引用。发明专利10余项。 专业特长: 妇科肿瘤学科带头人,对妇科肿瘤的早期诊断和治疗有丰富的临床经验。在宫颈持续HPV感染的精准诊断及宫颈癌前病变的诊治处于国际领先水平。擅长腹腔镜下(传统腹腔镜、单孔腹腔镜及达芬奇机器人手术系统)宫颈癌、子宫内膜癌、卵巢肿瘤、子宫内膜异位症、子宫肌瘤、子宫腺肌瘤、宫颈病变等妇科疾病的微创手术,及宫腔镜下异常子宫出血、子宫内膜息肉、子宫粘膜下肌瘤、子宫畸形等宫腔病变的诊断和治疗。手术技术精湛,重视患者生殖内分泌功能的保护和术后生活质量的提高。此外,在晚期和复发性卵巢癌、外阴/阴道癌以及滋养细胞肿瘤的综合治疗方面亦具有较深造诣,以提高患者生存质量。
病例介绍
患者,赵xx,37岁,女,再婚,有生育需求。
✦主诉:
发现宫颈病变半年余。
✦现病史:
患者2023-10-05外院体检查TCT:HSIL,HPV16型阳性,行宫颈活检,病理回报:子宫颈乳头状鳞状细胞癌,因取材过于表浅,不排除深部间质有浸润。患者未予治疗。2024-04-09在我院再次行宫颈活检,其病理结果提示3点处活检组织为高分化鳞状细胞癌。否认异常阴道流血、流液,否认接触性出血,无下腹坠胀、腰背酸痛、头晕乏力、胸闷气短等不适。起病以来,患者精神、食欲、睡眠均可,大小便正常,体力体重无下降。
✦既往史:
2012年行双侧输卵管结扎术;2023年行输卵管吻合术;无特殊病史,无食物药物过敏史。
✦体检:
T 36.8℃,P 80bpm,R 20bpm,Bp 142/73mmHg,全身皮肤粘膜无黄染,浅表淋巴结未触及肿大,心肺未闻未及异常,腹软,无压痛及反跳痛,移动性浊音阴性。双下肢无浮肿。
✦妇检:
外阴发育正常;阴道畅,粘膜光滑,可见少量血性分泌物;宫颈肥大,表面可见活检后改变;月经来潮未内诊及三合诊。
✦辅助检查:
2024-04-11我院宫颈活检病理:宫颈3点活检:高分化鳞状细胞癌;宫颈6点、9点、12点局部呈(CIN I级)伴病毒感染;宫颈管搔刮物,游离的鳞状上皮呈原位鳞状细胞癌图像。
✦入院完善相关检查检验:
SCC正常,CA125 38.2U/mL↑,铁蛋白 304.94ng/mL↑,CA724 10.6U/mL↑。
三大常规、凝血象、肝肾糖电解质、甲功三项、传染病四项均无特殊异常。
肺部CT:左肺上叶上舌段实性结节影,增殖灶可能。
腹部CT:未见明显异常。
盆腔MRI提示宫颈肥厚,肿瘤性病变不除外

✦考虑诊断:
宫颈鳞状上皮细胞癌IB1期
宫颈人乳头瘤病毒16型感染
✦手术方式:
盆腔淋巴结切除+阴式宫颈广泛切除术
✦术后石蜡病理:
广泛CIN Ⅲ级并累及腺体
各切缘均(-)
盆腔淋巴结(-)
免疫组化:腺上皮P16(-),Ki-67(低表达)

✦早期发现CIN和宫颈癌;
目前,标准的根治性宫颈切除手术范围为保留子宫体,在宫颈内口下方1cm切断宫颈,阴道切除2cm以上,宫旁切除2cm以上。该手术是否适合所有早期低风险宫颈癌患者保留生育功能呢?是否可以借鉴根治性子宫切除术的手术分型系统呢?
基于本病例患者宫颈大部分病灶为CIN III,局灶为宫颈癌,在治疗宫颈癌的同时还要考虑患者的妊娠需求,因此制定个体化的宫颈切除范围,在盆腔淋巴结活检冰冻病理提示未见转移后,进行了阴式宫颈广泛切除术,以提高患者将来妊娠的成功率。


本次手术导致患者宫颈缺失,应采取相应措施预防宫颈机能不全。
院内任职:武汉大学中南医院妇儿医院副院长、妇科肿瘤科科主任、妇科肿瘤科学科带头人
1)国家科技部重大专项首席科学家(原863计划)
2)国家自然科学基金多国合作重点项目牵头科学家
3)中国研究型医院病毒肿瘤学会副主任委员
4) 广东省珠江学者
5)湖北省医师协会妇产科医师分会副主任委员
享受特殊津贴及类型:中组部国家高层次人才
所获荣誉及奖项(省级及以上):
1)2019年度全国妇幼健康科学技术奖一等奖
2)2020年度中华医学科技奖一等奖
主要研究成果:
以通讯作者/第一作者发表SCI论文30+篇,10分以上论文>10篇,总影响因子>200分, 包括Nature Genetics, JCI, Advanced Science, Nucleic Acids Research, Nature Communication, Clinical Cancer Research等期刊。目前主持国家科技部传染病重大专项1项,国家自然科学基金3项,总经费逾千万。研究成果多次获得国内外同行的肯定性评价,相关研究结论入选Prime 1000,并被Nature、Nature Biotechnology、Nature Reviews Cancer等顶级杂志正面引用。发明专利10余项。
责编:liu
